Examining what’s inside a tumour
14 Jan 2012
Gliomas, the most common types of brain tumor, are also among the deadliest cancers: Their mortality rate is nearly 100 per cent, in part because there are very few treatments available.

A team of researchers from MIT, Harvard University, Massachusetts General Hospital (MGH) and Agios Pharmaceuticals has now developed a way to identify a particular subset of brain tumours, which may help doctors choose treatments and help researchers create new drugs that target the disease's underlying genetic mutation.
Scientists have known for several years that many brain tumors involve a mutation in the gene for an enzyme called isocitrate dehydrogenase (IDH). This enzyme is involved in cell metabolism - the process of breaking down sugar molecules to extract energy from them. IDH mutations are found in up to 86 per cent of low-grade gliomas, which have a better prognosis than high-grade gliomas, also called glioblastomas. Patients with low-grade gliomas can survive for years, though the tumors almost always prove fatal.
Several pharmaceutical companies are now pursuing drugs that target IDH, in hopes of halting tumor growth. Some of those drugs may enter clinical trials within the year, says Matthew Vander Heiden, a member of the David H. Koch Institute for Integrative Cancer Research at MIT.
Vander Heiden is part of the team that developed imaging technology to reveal whether brain tumors have the IDH mutation, which could help researchers monitor whether potential drugs are having the desired effect. The researchers described their technique in the Jan. 11 online edition of Science Translational Medicine.
Unambiguous detection
When IDH is mutated, a tumor cell begins to produce vast quantities of a molecule called 2-hydroxyglutarate (2-HG). Previous research has shown that 2-HG interferes with the regulation of DNA expression, causing the cell to revert to an immature state conducive to uncontrolled growth. IDH mutations are also found in some forms of leukemia and, rarely, in other cancers.
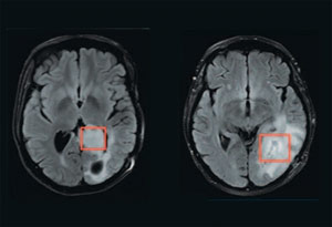
The new imaging technique uses magnetic resonance (MR) spectroscopy, which analyses the magnetic properties of atomic nuclei, to locate 2-HG in the brain. Other researchers have tried to image 2-HG with MR spectroscopy, but found it difficult to distinguish 2-HG from some of the brain's common metabolites, such as glutamate and glutamine.
MGH researchers led by George Sorensen and Ovidiu Andronesi, the lead author of the Science Translational Medicine paper, found a way to unambiguously detect 2-HG by doing the MR scans in two dimensions, which gives enough information to conclusively distinguish 2-HG from similar compounds. The imaging technique does not require any specialised equipment; it can be done with the clinical MRI scanners already found in most hospitals.
''The most exciting thing about this is it opens up the possibility that as drugs against gliomas come online, you could know which patients with brain tumors to put in the clinical trials, and you would know if the drug you're giving them is actually doing what it's supposed to do,'' says Vander Heiden, the Howard S. and Linda B. Stern Career Development Professor of Biology at MIT.
Currently, the only way to measure 2-HG levels is by taking a brain biopsy and doing mass spectrometry on the tissue. This is commonly done when a brain tumor is first diagnosed, but can't be done on a regular basis, says Hai Yan, an assistant professor of pathology at Duke University.
''If you can detect [2-HG] in the tissue or blood, it would allow physicians to tell if treatments for the tumor have been effective or not,'' says Yan, who was not involved in this research.


