Cancer patient receives 3D printed titanium sternum and rib implant
14 Sep 2015
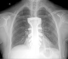
In the first operation of its kind in the world, a cancer patient has successfully been implanted with a 3D printed titanium sternum and rib implant.
The implant operation was carried out on a Spanish patient, 54, diagnosed with a chest wall sarcoma (a form of cancer in which a tumour grew inside or around the rib cage). The patient needed a part of the rib cage including the sternum to be removed.
Traditionally manufactured implant ran the risk of coming loose over time, increasing the risk of complications and re-operations, the surgeons therefore decided to opt for 3D printing.
The technology allowed for the creation of an implant that accurately replicated the size and form of the patient' rib cage.
The surgeons got in touch with Australian medical device company Anatomics and the Spanish team also made a high-resolution computer tomography scan to plan the surgery in detail as to allow Anatomics to create an accurate implant that matched the removed part.
The details of the joint Spanish-Australian project initiated by Spanish surgeons were spelt out in a press-release by the office of the Australian science and industry minister, Ian Macfarlane, yesterday.
"We thought, maybe we could create a new type of implant that we could fully customize to replicate the intricate structures of the sternum and ribs," said Dr Jose Aranda from the surgical team at the Salamanca University Hospital in Spain that carried out the operation.
For making the implant, the company created a 3-D model of the patient's chest wall and tumor, with the help of high-resolution CT scans. The same model was used by the surgical team to determine where to cut the patient's rib cage.
The printing of the implant was done at Lab 22, the 3-D printing lab of the Commonwealth Scientific and Industrial Research Organisation (CSIRO), Australia's national science agency. An electron beam is used in the printer to melt titanium powder into a 3-D object made with fine layers.
"The advantage of 3-D printing is its rapid prototyping," CSIRO's Adam Knight wrote in a blog post. "When you're waiting for life-saving surgery, this is the definitely the order of the day."
After printing, finishing and polishing, the implant as sent to Spain for the implant surgery. The patient had been discharged and is recovering.


